БЕЗПЛАТЕН УЕБИНАР Дистализиране с алайнери

08 Май 2026 год.
19:00 часа
ZOOM

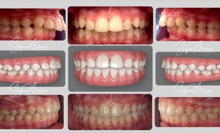
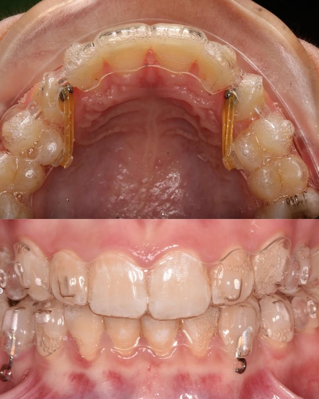
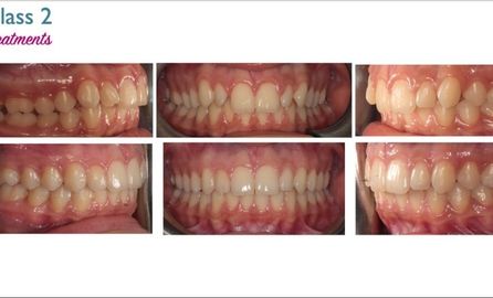
За да постигнем предвидими и отлични резултати при дистализация с алайнери, е изключително важно да разбираме правилните клинични протоколи.
Ключова роля играят познаването на ограниченията на метода, използването на допълнителни средства (ластици, атачмънти, миниимпланти и др.) и правилното разпределение на движенията във времето (стейджинг), което води до прецизен и ефективен дигитален план на лечение.

Курс „Ортодонтия с алайнери“ – теория и практика в 4 модула.

За какво ще говорим?

В този уебинар ще се фокусираме върху един от най-предизвикателните аспекти в лечението с алайнери — дистализацията и как да я направим предвидима, контролирана и клинично успешна.
Ще разгледаме кои са ключовите фактори, които определят успеха на този тип движения, както и реалните ограничения на алайнер терапията — кога можем да разчитаме на нея и кога трябва да бъдем по-внимателни в планирането.

Специално внимание ще обърнем на ролята на допълнителните средства като ластици, атачмънти и миниимпланти, и как тяхното правилно комбиниране може значително да подобри контрола върху движението.

Ще обсъдим и концепцията за стейджинг — как да разпределим движенията във времето така, че да постигнем максимална ефективност и стабилност, без да компрометираме резултата.

В рамките на уебинара ще бъдат представени практически насоки и клинични примери, които ще Ви помогнат да изградите по-прецизен и предвидим дигитален план на лечение при случаи, изискващи дистализация с алайнери.

Dr. Stefano Marini

  • Завършва дентална медицина и дентална протетика в Университета La Sapienza в Рим, след което насочва клиничната си практика изцяло към ортодонтията. Притежава множество сертификати за напреднали ортодонтски техники, преминава престижната двугодишна програма FACE Master и придобива специалност по ортодонтия с отличие от Университета Tor Vergata в Рим.
  • Търсен международен лектор и Key Opinion Leader (KOL) в областта на лечението с алайнери, с богат клиничен опит от над 1200 лично лекувани случая. Също така е част от преподавателския състав и водещ лектор в следдипломни магистърски програми към университетите Tor Vergata и Unicamillus в Рим.

Уебинарът е подходящ за вас, ако сте:

Запиши се

За ортодонти, които работят с алайнери

За ортодонти, които работят с алайнери и искат по-добър контрол при дистализацията — ще надградите протоколите си с по-предвидими стратегии.

За общопрактикуващи стоматолози с интерес към алайнер терапия

За общопрактикуващи стоматолози с интерес към алайнер терапия — ще получите ясна рамка кога и как да прилагате този тип движения.

За клиницисти, които срещат трудности с комплексни случаи

За клиницисти, които срещат трудности с комплексни случаи — ще разберете как да избегнете чести грешки и да подобрите резултатите си.

За лекари, които искат по-добро дигитално планиране

За лекари, които искат по-добро дигитално планиране — ще научите как правилният стейджинг води до по-ефективно и стабилно лечение.

Какво казват наши курсисти?

Д-р Ирена Господинова
Добра презентация с много случаи от практиката. Много съвети, полезни за нас. Лекторът е много емоционален и търсещ контакт с колегите. Интерактивна лекция. Удоволствие е!
Д-р Йоана Андонова
Един практичен и полезен курс за лечение на бруксизъм! Концепцията на Педро Планас е изключителна, а д-р Коща успя да предаде и покаже нагледно цялата информация, от която има нужда един дентален лекар, за да я приложи веднага! Изключително доволна съм! Очаквам следващите Ви курсове!
Д-р Цветелина Балабанова
Д-р Ваш е изключителен професионалист. Курсът беше много подробен и обхвана голям набор от случаи, в които ботоксът може да бъде помощно средство при лечение: Бруксизъм, броксомания, гингивална усмивка, в имплантологията, при орална хирургия... Курсът беше организиран чудесно! Със сигурност ще се включа и на други ваши обучения! Благодаря Дентал Академи!
Д-р Мартин Стефанов
Гейм-чейнджър за моментална употреба в практиката ми! Д-р Каскалес беше невероятен лектор! Със сигурност ще взема участие и на други курсове! Благодаря Ви Дентал Академи!
Д-р Мирослава Тодорова
Радвам се, че участвах в този курс. Смятам, че той ми дава доста повече насоки и смелост за работа, тъй като имам възможност да обсъждам случаи, за които имам нужда от подкрепа с проф. Токолини и извън курса. Препоръчвам курсовете и смятам, че всеки има какво да научи - и колегите, които вече работят с мини импланти, и тези, които тепърва започват работа с тях! Изключително доволна съм! Благодаря!
Д-р Константина Тодорова
Организацията на курса беше изключително добре планирана. И двата дни бяха много интензивни и ползотворни. Лично за мен практическата част беше много важна и благодарение на нея успях да отговоря на всичките си въпроси. Обсъждането на клиничните случаи беше много детайлно. Най-голямо впечатление в мен остави желанието на професор Токолини всеки курсист да разбере в пълнота темата и да вземе максимума от курса. Благодаря Ви Дентал Академи!
Д-р Елван Дервиш
Курсът беше страхотен! Всички участници взимаха много активно участие. Професорът отговори на абсолютно всеки въпрос! Изключително впечатлена съм! Много ползотворен и полезен курс! Колеги запишете се! Професорът е уникален специалист, който ще идва отново и за Мастър курс!
Д-р Йова Танчева
Хареса ми искреното споделяне на опит! Точните и ясни протоколи. Благодаря Ви! Полезно и чудесно!
Д-р Боряна Атансова
Абсолютно оправдахте, даже надминахте очакванията ми! Курсът беше много информативен и успяхте да отговорите на всичките ми въпроси. Благодаря!
д-р Гюллю Мурад
Курсът беше УНИКАЛЕН! Лекторът се раздаваше на максимум. Много биомеханика беше включена в теорията, която много често остава на заден план, а в този курс проф. Токолини наблегна на БИОМЕХАНИКАТА с много клинични съвети!
Д-р Айя Чолакова
Курсът беше добре организиран, интензивен и протече с много дискусии. Хареса ми!
Dr. El Hassan El Kaouri
Dr. Pinto`s lecture was very enlightening and is a great way to refresh the theoretical knowledge regarding endodontics. Dental Academy`s organization is great and I highly recommend anyone interested in their lectures to take part.
Д-р Звездица Накова
Много добър преводач! Организирано, без напрежение и бързане. Лекторът беше много изчерпателен и спокоен да отговаря на въпроси.“ Продължавайте все така!
Д-р Лили Василева
Видях курса на Дентал Академи за Самолигиращи брекети и реших да се запиша. Имах нужда от по-дълбоки познания по темата. Останах повече от доволна от съотношението цена/качество! Организацията надмина очакванията ми, а Др. Токолини представи техники, които със сигурност ще използвам в практиката си! Благодаря Дентал Академи!
Д-р Иван Димитров
Това е наистина увлекателен семинар! Mного много препоръчвам курсовете на Dental Academy, на които наистина ми хареса, защото много курсове, които съм посещавал преди, обикновено са просто лекции
Д-р Мария Косева
Благодаря Ви за изключително ползотворният курс ! Получих много нови знания, които ще използвам в практиката си. С удоволствие ще учавствам и в други курсове, които организирате !
Д-р Кети Славкова
Изключителен лектор, просветител! Д-р Токолини успява да събере целия си опит и знания и да ги систематизира по универсален начин, достъпен за всеки колега, който се докосне до неговите курсове. Изключителен иноватор - Негова разработка са самолигиращите пасивни брекети T-contol с осигурен торк контрол и black box за пинцетите за брекети, която улеснява работата на всеки ортодонт! Всяка минута от курса за Самолигиращи брекети дава безценни знания!

Често задавани въпроси

Отговаряме на често задаваните въпроси относно курса, за да ви осигурим пълна информация. Ако имате допълнителни въпроси, не се колебайте да се свържете с нас.

Как да се запиша за курс?

Можете да се запишете чрез нашия уебсайт, като изберете желания курс и попълните регистрационната форма. След потвърждение ще получите информация за плащането и детайлите за обучението.Наш представител от екипа ще се свърже в рамките на същият ден.

Какви са начините на плащане?

Предлагаме плащане по банков път, с издадена фактура или на вноски, ако курсът позволява такава опция.

Получавам ли сертификат след завършване на курса?

Да, всички участници получават официален сертификат за завършване, който удостоверява придобитите знания и умения.

Курсът включва ли практическа част?

Да, нашите курсове са фокусирани върху практическо обучение с реални клинични случаи и демонстрации от световно признати лектори.

Има ли лимит на местата в курсовете?

Да, за да гарантираме качествено обучение, местата в курсовете са ограничени. Препоръчваме ранно записване.

Подходящ ли е курсът за начинаещи?

Имаме както курсове за начинаещи, така и за напреднали. Описанието на всеки курс съдържа информация за необходимото ниво на подготовка.

Къде се провеждат курсовете?

Курсовете се провеждат в различни локации в България, като точният адрес е указан за всеки курс. Някои обучения предлагаме и онлайн.

Какви са условията за анулиране или промяна на записването?

Ако не можете да присъствате, свържете се с нас възможно най-скоро. Предлагаме прехвърляне към друг курс или възстановяване на сума при спазване на нашите условия.

Как да се свържа с вас за допълнителни въпроси?

Можете да ни пишете на info@dentalacademy.bg или да се обадите на +359 879921078. Също така сме активни в социалните мрежи: Facebook и Instagram – @dentalacademy.bg.

22 Март 2025г.
Хотел Метрополитан, гр. София

Ортодонтия с алайнери - Теория и практика в 4 модула